Hortobágy infó
2025. december 6, szombat - Miklós

Hírek

2017. Június 01. 10:08, csütörtök | Életmód
Forrás: mti

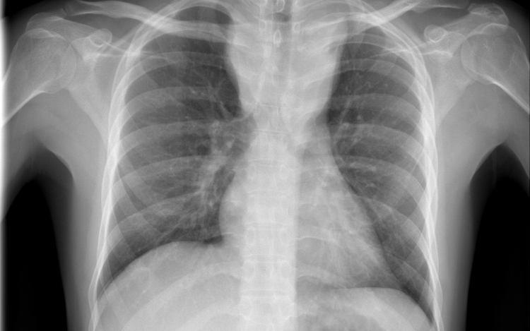
Magyarországon halnak meg a legtöbben tüdőrákban az EU-ban

Magyarországon halnak meg a legtöbben tüdőrákban az EU-ban

Az Európai Unióban Magyarországon a legmagasabb, az összes halálok között 27 százaléknyi a tüdőrák okozta halálozások aránya - hangzott el az M1 aktuális csatorna csütörtöki műsorában.

Demjén Tibor, a Dohányzás Fókuszpont vezetője hangsúlyozta: ugyan folyamatosan csökken a dohányzók aránya, de így is a felnőtt népesség 27,5 százaléka dohányzik Magyarországon.

Ez az arány a fiatalok körében 25 százalékos, ám közülük csupán 5 százaléknyian gyújtanak rá naponta - fűzte hozzá.

Kiemelte, kevésbé ismert, hogy a dohányzás nemcsak egészségkárosodást és halált okoz, hanem jelentős környezetszennyezést is. Példaként említette, hogy a világ erdeinek 4 százalékát pusztították el a dohánytermelés érdekében és világszerte 4,3 millió hektáron zajlik dohánytermelés, jelentős műtrágya-felhasználás mellett.

A dohányipar 2 milliárd tonna szilárd hulladékot termel évente és csak Magyarországon 220 vagont töltenének meg évről évre a visszamaradt csikkek - jegyezte meg.

Az Egészségügyi Világszervezet azt javasolja, hogy egy dollárral növeljék a dohánytermékek adóját. Ez egyrészt növelné a visszatartó hatást, másrészt 190 milliárd dollár pluszbevételt eredményezne. Ezt a pénzt pedig megelőző programokra, illetve a leszokás támogatására lehetne költeni - tette hozzá a szakember.

Demjén Tibor azt mondta, a megelőzést már óvodás korban el lehet kezdeni, a gyerekek véleménye mesékkel, foglalkozásokkal alakítható.

Címkék: tüdő, tüdőrák

Ezek érdekelhetnek még

2025. December 06. 08:47, szombat | Életmód

Átadták az idei Prima Primissima Díjakat

Idén is tíz kategóriában vehették át a Prima és Prima Primissima Díjakat a magyar szellemi élet, a művészet, a tudomány és a sport jeles képviselői a Müpában megtartott pénteki gálaesten.

2025. December 05. 07:36, péntek | Életmód

A mecseki Zengőn álló építmény lett az Év kilátója 2025-ben

A magyar turisták szavazatai alapján dőlt el, hogy a Mecsek-hegység legmagasabb hegyén álló, az arról elnevezett építmény lett az Év kilátója pályázat győztese

2025. December 02. 07:13, kedd | Életmód

Emlékérmét bocsátott ki a 2025-ös magyar űrrepülés tiszteletére az MNB

Emlékérmét bocsátott ki a 2025-ös magyar űrrepülés tiszteletére a Magyar Nemzeti Bank (MNB) hétfőn, Budapesten.

2025. December 02. 07:04, kedd | Életmód

A Székely Hadosztályra emlékeztek Budapesten

A Székely Hadosztály a bátorság, a helytállás, az összefogás jelképe - hangsúlyozta a Magyarságkutató Intézet főigazgatója azon hétfői pódiumbeszélgetésen, amely a székely katonák 1918-1919-es szerepvállalásáról szólt.